Pilne!!!!! Kotek do eutanazji! Otrzymaliśmy informację o kotku po wypadku


Pilne!!!!! Kotek do eutanazji!
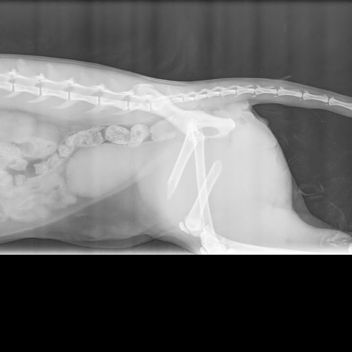
Otrzymaliśmy informację o kotku po wypadku, który został przeznaczony do eutanazji. Simba – bo tak ma na imię, żył przy domu na jednej z wsi w województwie podkarpackim. Jego opiekunka/karmicielka, znalazła go kilka dni temu leżącego i cierpiącego – ewidentnie po uderzeniu przez samochód.
Jak się okazało w lecznicy, leczenie obejmować będzie długą hospitalizację i pochłonie ogromne koszty 🙁
Pani ledwo wiąże koniec z końcem, więc padła decyzja o eutanazji, a my zostaliśmy o tym poinformowani, jako ostatnia deska ratunku.
Pani doktor łamiącym głosem poprosiła nas o pomoc, gdyż sama wie, że ten przymilny, grzeczny kocurek może i chce żyć, choć ratowanie go, będzie długą i trudną walką 🙁
Simba, po decyzji o eutanazji mruczał i ocierał się pyszczkiem o swoją opiekunkę i panią weterynarz – jakby chciał poprosić o życie, mimo fatalnej sytuacji w jakiej się znalazł 🙁
Takie sceny zawsze łamią serca💔

Niestety, obecnie nie możemy pokryć takiego leczenia. Z wielką nadzieją wypatrujemy 1.5%, gdyż nasze środki topnieją w zastraszającym tempie. W ostatnich dniach straciliśmy też kilku Patronów, których subskrypcje wygasły i nie zostały odnowione.
Walczymy więc znów o przetrwanie 🙁
Naprawdę robimy co możemy, żeby utrzymać Kociarnię i zapewnić naszym kotom wszystko, czego potrzebują. Tymczasem co rusz trafiają do nas przypadki skrajnie dramatyczne 😰
Nikt nie jest w stanie tyle unieść, a jest nas tylko garstka wolontariuszy 🙁

Przeznaczymy najbliższe dni na próby zdobycia środków na leczenie Simby i utrzymania go w szpitaliku, a następnie podejmiemy decyzję co dalej 🙁 Nic więcej nie możemy zrobić.

Link do zbiórki na Simbę:
https://pomagam.pl/ey3rgd

Dane do przelewów:
Fundacja Kocia Wyspa 26 1090 2750 0000 0001 2134 8540 (tytuł: Simba)
lub:
PayPal: info@kociawyspa.org
Aby nadal działać i ratować takie koty jak Simba, potrzebujemy stałego wsparcia. Zostańcie Patronami🥹
https://patronite.pl/kocia-wyspa

Źródło: